我們都知道,人類的科學技術現在已經十分發達了,也正是依賴於人類的科學技術的發展,科學家對人體的研究也非常透徹。不僅對細胞有很深的研究,甚至還可以利用基因來改變生物的性狀。但我們真的可以說已經對人體瞭如指掌了嗎?人類的身體到底還有多少秘密存在呢?

要知道我們人類連最基本的起源還沒有搞清楚,更不用說對於衰老、人體奧秘的問題了。

而在前一段時間科學家對人體進行研究的時候,就無意間發現了一個新的器官。當然說到這裡你感覺到不可思議,畢竟現在很多儀器對人類的身體進行全方位的檢查,並且也有許多的人體解剖案例存在,怎麼會不知道人體有什麼樣的器官存在呢?

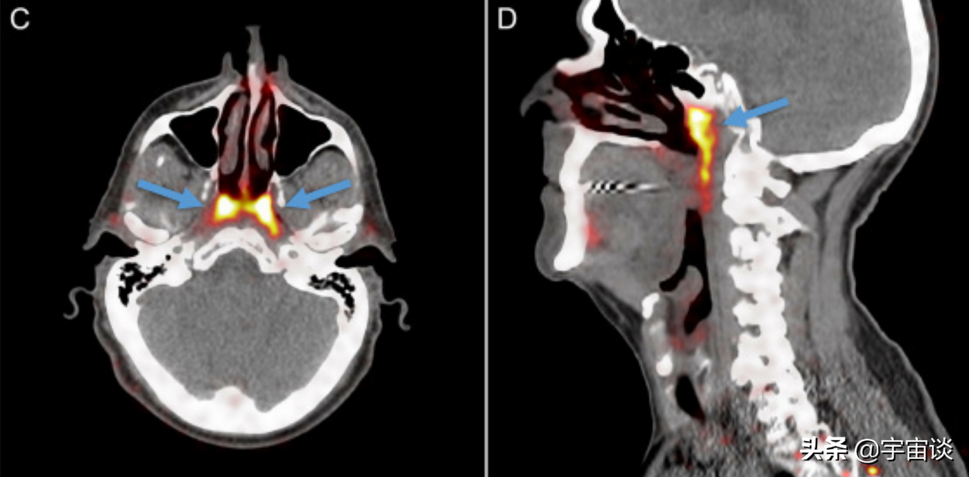
要知道人體是一個非常複雜的生物,構造也十分的複雜,身體內存在著很多細小隱藏比較深的器官沒被我們人類找到是肯定存在的,就在今年的9月份國外的生物家對癌細胞進行研究的時候就無意間發現—在人的鼻子到咽喉深處,有一個之前從未發現的器官,雖然這個器官大小有3.9釐米,但是之前一直沒有被發現,那麼這個器官究竟是什麼呢?

原來科學家發現的這個器官是唾液腺,在此之前人類發現的有三種大唾液腺,分別為腮腺,下頜下腺和舌下腺,不僅如此,還有1000多個小的唾液腺分佈在口腔和喉嚨的黏膜當中。但是從來沒有發現過鼻腔的後方還有一對兒大的,並且對人類非常重要的唾液腺。那麼研究人員是怎麼發現這個新器官的呢?

原來這個研究小組最開始的時候並不是來研究唾液腺和人體結構的,而是研究前列腺癌的,在無意當中發現了這個特殊的器官,並且把它命名為管狀腺。當然發現之後研究小組也隨後對很多人進行了比對,發現這並非是某些人群特有,而是人類都普遍存在的一個器官。這也正是說明了這個器官是人類的標配。而研究小組經過研究後又有了新的發現:這個器官或許對治療癌症有著很大的幫助,尤其是對於一些頭頸部有癌症的患者來說。這又是怎麼一回事呢?

隨後研究小組也對病人進行了分析,從以往的接受放療的病人數據來看,對這個部位放療的越多,併發症也就越來越嚴重,而這個新器官的發現,對於癌症患者來說是一個非常大的好處,畢竟在以後的治療上,能夠避免這個新發現區域的輻射,或許就能夠降低併發症,提高治療的成功率。

當然隨著科學技術不斷的發展,人類身體的奧秘也逐漸會被揭開。相信在未來的某一天,人體的奧秘完全會被揭開之後,人類很可能會將身體的潛能全部激發,而到那個時候,人類又會出現什麼樣的症狀呢?會不會就是我們現在所說的特異功能呢?









